Arsip Kategori: 3. Bilik Sehat

ringkasan referensi dari beberapa sumber untuk mempelajari seputar medis dan bedah orthopaedi

Tulang dan Menopause

Wanita akan mengalami kehilangan densitas tulangnya sekitar 20% dalam 5 sampai 7 tahun setelah menopause. Terjadinya penurunan densitas tulang terjadi karena penurunan level hormon estrogen. Salah satu fungsi hormon estrogen adalah untuk membantu menjaga kekuatan tulang. 

Meskipun demikian resiko terjadinya osteoporosis dan patah tulang (fraktur) akan tetap rendah hingga usia lebih tua karena densitas tulang hanya salah satu dari beberapa hal yang mempengaruhi kekuatan tulang. 

Meskipun kita tidak mungkin untuk mencegah terjadinya pengurangan kekuatan tulang yang seiring dengan penuaan namun kita dapat melakukan beberapa hal sebagai upaya untuk menjaga kesehatan tulang, yaitu : 

  1. Gaya hidup aktif.  Diperlukan aktifitas olahraga moderat sebanyak 30 menit setiap hari. Contoh olahraga kategori ini misalnya bersepeda ringan atau berjalan cepat. Kita juga harus menghindari aktivitas duduk lama seperti menonton tv atau berada di depan komputer dalam jangka lama. Olahraga dengan beban juga membantu menguatkan tulang.
  2. Makanan sehat dan seimbang. Diperlukan terutama makanan yang mengandung kalsium dan vitamin D. Seperti misalnya sayuran hijau (kecuali bayam), kacang-kacangan, biji-bijian, ikan dengan tulangnya, susu, yogurt dan keju. Vitamin D dapat diperoleh dari minyak ikan dan telur.
  3. Paparan sinar matahari.  Adanya paparan sinar matahari ikut membantu pembentukan vitamin D oleh tubuh manusia. 
  4. Hindari rokok dan alkohol. Merokok dan konsumsi minuman beralkohol berkaitan dengan peningkatan resiko terjadinya osteoporosis. 
  5. HRT (hormon replacement  theraphy). HRT dapat membantu menjaga kepadatan tulang. Namun HRT tidak direkomendasikan untuk usia muda karena justru efeknya akan merugikan nantinya setelah usia semakin tua. HRT mungkin dapat direkomendasikan pada premature menopause (kurang dari 40 tahun) atau early menopause( usia sekitar 45 tahun) dengan memiliki resiko osteoporosis yang lain. 

Pengobatan untuk tulang hanya diperlukan jika seseorang terbukti memiliki resiko tinggi untuk terjadinya osteoporosis seperti : 

  • Memiliki riwayat rheumatoid arthritis
  • Riwayat penggunaan kortikosteroid jangka panjang (lebih dari 3 bulan)
  • Pernah mengalami patah tulang yang diakibatkan cidera ringan (minor injury/low force

    Ref : https://www.nhs.uk/Livewell/healthy-bones/Pages/menopause-and-your-bone-health.aspx

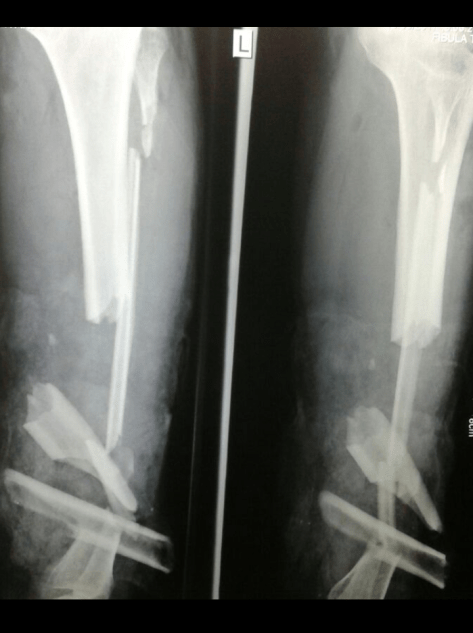
    Patah Tulang Kering (Tibial Bone Fracture)

    Telepon seluler berdering kencang. Panggilan dari dokter jaga ugd melaporkan pasien baru akibat kecelakaan lalu lintas yang baru saja terjadi. Ibu paruh baya datang dengan luka menganga pada tungkai kiri. Dari gambaran klinis yg dikirimkan tampak daging terburai. Darah merubah warna perlak yang melapisi tempat tidur pasien menjadi merah. Tampak pula dua potongan (fragmen) tulang yang keluar. Berada diluar daging tepatnya

    “Dok, dari pengukuran saturasi didapatkan hasil ‘0’ (null) diseluruh jari”. Dokter UGD menjelaskan seluruhnya dengan gamblang dan terinci. “Siapkan operasi cito -istilah untuk tindakan operasi darurat ya”. Seraya segera mengambil kunci motor bergegas menuju rumah sakit.

    Keadaan saat awal operasi (durante op) bagian ujung kaki (distal) tampak berwarna pucat kebiruan. Tidak dijumpai perdarahan aktif. Hematom ada diantara jaringan bawah kulit (subkutis), diantara otot yang tercabik-cabik. Dilakukan tindakan meluruskan kembali tulang, re-aligment sekaligus dilakukan debridemen. Posisi tulang yang pecah fragmented dilakukan re-aligment. Selanjutnya dilakukan fiksasi tulang (external fixation). Penutupan jaringan lunak (soft tissue) dilakukan sedapatnya dengan tarikan regang yang sedikit (minimal tension). Diakhir operasi ujung kaki mulai tampak kemerahan kembali.

    Patah tulang tibia (tibial fracture) adalah patah tulang panjang yang paling sering dijumpai khususnya pada bagian batang tulang shaft (plateau, shaft dan plafon). Dari mekanismenya dibedakan menjadi 2 jenis yaitu low energy fracture pattern dan high energy fracture pattern.

    Dari mekanisme low energy umumnya didapatkan alibat cidera tidak langsung (torsional injury) dengan ciri khas didapatkan patah tulang fibula pada level yang berbeda, sedangkan untuk mekanisme high energy injury umumnya dari benturan langsung yang seringkali berupa patahan dengan bentuk baji (wedge) atau short oblique dengan bagian yang terpecah (kominutif fragment).
    Pengobatan patah tulang tibia dapat berupa pengobatan tanpa operasi ataupun dengan operasi. Pengobatan tanpa operasi dilakukan berupa pemasangan gips (casting) dengan indikasi patah tulang tertutup dengan aligmnen baik.

    Pengobatan patah tulang tibia dapat pula dilakukan melalui operasi dengan beberapa indikasi berupa posisi tulang yg tidak baik selah dilakukan reposisi tertutup (unacceptable alignment with closed reduction and gips), cidera jaringan lunak luas yang menyulitkan perawatan, patah tulang dengan tipe segmental dan kominutif.

    Lima hari kemudian keadaan ibu itu jauh membaik. Wajahnya nampak cukup bugar untuk bisa pulang. Ujung-ujung jari kedua kakinya sama, tidak ada tanda nekrotik sama sekali. Ekternal fiksasi terpasang kokok menopang tulang tibianya yang pecah belum sepekan lalu.

    “Hari ini ibu boleh pulang, insyaAllah kaki ibu akan segera membaik, tetap semangat ya, Bu”. Dia tersenyum. “Alhamdullillah”.

    Ref :

    1. http://orthoinfo.aaos.org/topic.cfm?topic=A00522

    Patah Tulang Selangka

    Bapak itu tampak tegang menunggu didepan poliklinik orthopedi. Sambil menopang lengan bawahnya yang ditekuk didepan dada raut mukanya menggambarkan rasa nyeri yang berat.

    Saya meminta petugas di poliklinik untuk mendahulukan antrian. Wajahnya tidak berubah membaik mendengar namanya dipanggil dipercepat meskipun belum gilirannya. Pasien lain tidak ada yang protes karena kebetulan saat itu semua pasien kontrol pasca operasi atau tindakan non operasi. Sepertinya mereka tahu jika bapak itu benar-benar kesakitan dan perlu pertolongan segera.

    image

    Patah tulang selangka (clavicle fracture) termasuk salah satu kasus patah tulang yang sering dijumpai. Secara epidemiologi jumlah kasusnya berkisar 4 % dari semua kasus patah tulang1.

    Penanganan kasus patah tulang selangka berkembang dari masa ke masa. Dahulu patah tulang selangka (clavicle fracture ) ditangani secara konservatif2 Perkembangan implan tulang yang semakin pesat sejak berdirinya beitsgemeinschaft für Osteosynthesefragen di Jerman ikut memberikan pilihan lain. Reposisi secara terbuka kemudian melakukan fiksasi secara internal memberikan pilihan reposisi tulang yang lebih baik. Beragam metode fiksasi internal ini seperti dengan Kirsner wire, AO recon plate, Clavicular plate dan Hook plate untuk distal clavicle fracture.

    Diluar pilihan operatif tersebut pilihan rasional untuk melakukan terapi konservatif kasus patah tulang selangka dengan Figure of Eight atau Ransel Verban. Pada beberapa penelitian menunjukkan hasil fungsional yang cukup baik dengan terapi konservatif, meskipun dengan waktu kesembuhan rerata yang lebih lama2.

    Tren terapi operatif untuk kasus patah tulang selangka (displaced clavicle fracture) yang meningkat mengindikasikan bahwa terapi konservatif tidak lagi memenuhi ekspektasi pasien dewasa ini2.

    Sebuah penelitian pada tahun 1997 menunjukkan hasil terapi konservatif dimana dari evaluasi 52 kasus selama 3 tahun menunjukkan bahwa 31% pasien dengan shortening lebih 2 cm menunjukkan hasil yang jelek (poor outcome), dengan 15 % patah tulang tidak menyambung (non union)2.

    Serupa dengan penelitian tahun 2006 dimana dari 30 pasien dengan terapi konservatif didapatkan sisa penurunan fungsi pada sisi terdampak. Tahun 2007 asosiasi orthopedi trauma di Kanada (Canadian Orthopaedic Trauma Society) mempublikasikan hasil penelitian dari 132 pasien yang diterapi secara konservatif atau operatif. Hasilnya diperoleh keluaran fungsi yang lebih baik pada kelompok terapi operatif dengan tingkat kepuasan pasien yang lebih tinggi dan komplikasi yang lebih rendah2.

    Sebuah penelitian multisenter di Skotlandia yang membandingkan terapi konservatif dan operatif dipublikasikan tahun 2013 menyebutkan bahwa 99 % fraktur tulang selangka dengan terapi operatif mencapai kesembuhan lebih baik dibandingkan dengan konservatif yang hanya 74% kesembuhan2.

    ———————

    Bapak itu terbaring sumringah dengan salah satu punggung telapak tangan terpasang selang infus berisi analgetik drip. Luka operasi cukup baik, tidak ada rembesan darah dan tidak pula ada tanda-tanda infeksi. Sore nanti bapak itu sudah diperbolehkan pulang dan besok pagi sudah boleh kembali beraktifitas meskipun belum boleh menggunakan sisi lengan yang terdampak.

    References :
    1. http://www.orthobullets.com/trauma/1011/clavicle-fractures

    2. Maureen Leahy. 2014. Treating Clavicle Fractures : Does evidence support surgical fixation?. AAOS. http://www.aaos.org/news/aaosnow/jun14/clinical8.asp

    Patah Tulang Selangka / Collarbone Fracture (Calvicular Fracture)

    Bapak itu tampak tegang menunggu didepan poliklinik orthopedi. Sambil menopang lengan bawahnya yang ditekuk didepan dada raut mukanya menggambarkan rasa nyeri yang berat.

    Saya meminta petugas di poliklinik untuk mendahulukan antrian. Wajahnya tidak berubah membaik mendengar namanya dipanggil dipercepat meskipun belum gilirannya. Pasien lain tidak ada yang protes karena kebetulan saat itu semua pasien kontrol pasca operasi. Mereka paham jika bapak itu benar-benar kesakitan dan perlu pertolongan segera.

    image

    Patah tulang selangka (collarbone fracture/ clavicle fracture) termasuk salah satu kasus patah tulang yang sering dijumpai. Secara epidemiologi jumlah kasusnya berkisar 4 % dari semua kasus patah tulang1.

    Penanganan kasus patah tulang selangka berkembang dari masa ke masa. Dahulu, patah tulang selangka (clavicle fracture ) ditangani secara konservatif2. Perkembangan implan tulang yang semakin pesat sejak berdirinya beitsgemeinschaft für Osteosynthesefragen di Jerman ikut menawarkan pilihan lain.

    Reposisi secara terbuka kemudian melakukan fiksasi secara internal memberikan pilihan reposisi tulang yang lebih baik. Beragam metode fiksasi internal ini dilakukan seperti dengan Kirsner wire, AO recon plate, Clavicular plate dan Hook plate.

    Diluar pilihan operatif tersebut pilihan lain untuk terapi secara konservatif pada kasus patah tulang selangka adalah dengan Figure of Eight atau Ransel Verban. Pada beberapa penelitian menunjukkan hasil fungsional yang cukup baik dengan terapi konservatif, meskipun dengan waktu kesembuhan rerata yang lebih lama2.

    Tren terapi operatif untuk kasus patah tulang selangka (displaced clavicle fracture) yang meningkat mengindikasikan bahwa terapi konservatif tidak lagi memenuhi ekspektasi pasien yang membutuhkan mobilisasi segera2.

    Sebuah penelitian pada tahun 1997 menunjukkan hasil terapi konservatif dimana dari evaluasi terhadap 52 kasus collarbone fracture selama 3 tahun menunjukkan bahwa sejumlah 31% pasien dengan pemendekan/shortening lebih 2 cm menunjukkan hasil yang jelek (poor outcome), dengan 15 % patah tulang tidak menyambung (non union)2.

    Serupa dengan penelitian tahun 2006 dimana dari 30 pasien dengan terapi konservatif didapatkan penurunan fungsi pada sisi terdampak. Tahun 2007 asosiasi orthopedi trauma Kanada (Canadian Orthopaedic Trauma Society) mempublikasikan hasil penelitian dari 132 pasien yang diterapi secara konservatif (tanpa operasi) atau operatif. Hasilnya diperoleh keluaran fungsi yang lebih baik pada kelompok terapi operatif dengan tingkat kepuasan pasien yang lebih tinggi dan komplikasi yang lebih rendah2.

    Sebuah penelitian multicenter di Skotlandia membandingkan terapi konservatif dan operatif yang dipublikasikan tahun 2013 menyebutkan bahwa 99 % fraktur tulang selangka dengan terapi operatif mencapai kesembuhan lebih baik dibandingkan dengan konservatif yang hanya 74% kesembuhan2.

    ———————

    Bapak itu terbaring sumringah dengan salah satu punggung telapak tangan terpasang selang infus berisi analgetik drip. Luka operasi cukup baik, tidak ada rembesan darah dan tidak pula ada tanda-tanda infeksi. Sore nanti bapak itu sudah diperbolehkan pulang dan besok pagi sudah boleh kembali beraktifitas meskipun belum boleh menggunakan sisi lengan yang terdampak.

    References :
    1. http://www.orthobullets.com/trauma/1011/clavicle-fractures

    2. Maureen Leahy. 2014. Treating Clavicle Fractures : Does evidence support surgical fixation?. AAOS. http://www.aaos.org/news/aaosnow/jun14/clinical8.asp

    Amputasi

    Usianya baru sekitar belasan tahun, namun takdir menyatakan bahwa ia menderita tumor tulang ganas pada bagian atas tungkai kanannya yang khas dijumpai pada rentang usianya ( osteosarcoma ). Tim orthopedi menelaah dan mendiskusikan dengan ahli patologi dan radiologi sampai pada simpulan putusan untuk melakukan amputasi.

    Lelaki 30-an tahun itu datang dengan luka kronis ditungkai kiri yang menyebarkan bau busuk. Borok yang sudah dibawanya selama 10 tahun lebih, sehingga iapun mengaku sudah lupa bagaimana awal kejadiannya. Struktur tulang dikakinya (distal tibia fibula, calcaneus, talus) sudah hancur sulit untuk dilihat dan bagian pangkal jari (bagian proximal metatarsal) sudah menunjukkan tanda osteomyelitis kronis. Setelah tim orthopedi berdiskusi dengan berbagai pertimbangan termasuk mempertimbangkan keinginan pasien untuk terbebas dari kondisi tersebut (tidak dapat berjalan, nyeri dan berbau busuk). Tim memutuskan untuk melakukan amputasi, pasien menyetujui tanpa persyaratan apapun.

    Adapula seorang wanita muda yang tegar menerima tindakan amputasi. Ia menyadari bahwa amputasi adalah jalan satu-satunya agar dirinya terbebas dari tumor tulang sebelum tumor itu menyebar kebagian tubuh lainnya (metastase) . Pada akhirnya dan hingga saat ini ia banyak sekali memberi support dan motivasi kepada pasien-pasien dengan tumor tulang yang menghadapi keputusan sulit sepertinya.

    Berkali-kali kami berhadapan dengan berbagai kasus yang membutuhkan amputasi sebagai pilihan akhir terapi. Sebagian tidak bisa menerima pilihan itu, sebagian lagi menerima dengan penuh keikhlasan dan keinginan untuk mengusahakan kesehatannya.
    image

    Para peneliti percaya bahwa amputasi telah dilakukan sejak jaman neolithic  (4.000-2.500 SM)1,2. Adapula yang menyatakan bahwa amputasi telah dilakukan manusia sejak 36.000 tahun lalu dengan bukti antropologi berupa lukisan gua. Bukti lain ditunjukkan dengan adanya penemuan didekat kota Paris berupa tulang lengan kiri lelaki yang membuktikan tanda-tanda telah dipotong dengan sengaja. Tulang ini diperkirakan berasal dari 4.900 tahun SM 3.

    Bukti tulisan mengenai amputasi masih dapat kita jumpai pada Rig-Veda yang berasal dari sekitar 3.500-1.800 SM 1,3. Bukti lain adanya amputasi dijumpai pada masa mesir kuno berupa prostese jari kaki Amenhotep II (tahun 1.500 SM)3.

    Tindakan amputasi mengalami kemajuan dan berkembang terus ke jaman Hippocrates, Celsius, Ibnu Sina hingga Ambrose Pare abad ke 16 M 3. Perang yang terjadi pada saat itu dan setelahnya dibanyak penjuru dunia sampai awal abad 19 membuat perkembangan metode amputasi menjadi semakin maju.

    Kehilangan anggota gerak tubuh atas dan atau bawah merupakan kehilangan berat, membuat limitasi dari sebelumnya mampu menggunakan keempatnya. Tentu saja kehilangan salah satu atau kedua tangan membuat seseorang kesulitan dalam beraktivitas, demikian pula jika kehilangan satu atau kedua kaki, namun amputasi tetap bukanlah akhir dari segalanya.

    Berapa banyak mereka yang sejak awal tidak seberuntung kita. Mereka yang sejak lahir tidak dikaruniai anggota tubuh lengkap dan indah. Bagi anda yang mendapat cobaan atau menghadapi pilihan sulit tersebut yakinlah bahwa cobaan itu adalah jalan menuju hidup yang niscaya jika dilalui akan membawa keadaan lebih bermakna untuk anda dan keluarga.

    Yogyakarta, Mei 2015

    Referensi :
    1. Vanderwerker, E.E. A Brief Review of the History of Amputations and Prostheses. ICIB 1976 Vol 15, Num 5. Link : http://www.acpoc.org/library/1976_05_015.asp

    2. http://en.m.wikipedia.org/wiki/Neolithic

    3. Wooster,M. Escape from a Greater Affliction: The Historical Evolution of Amputation. Link: http://www.dmu.edu/wp-content/uploads/2011/06/Howard-A-Graney-Submission-M-Wooster.pdf

    Patah Tulang Paha (Femur Fracture)

    Patah tulang paha atau fraktur femur berbeda dengan patah tulang lainnya. Jika dibiarkan tanpa pengobatan yang tepat fraktur femur sangat mungkin tidak akan menyambung (nonunion) atau jika sangat beruntung menyambung tetapi dalam posisi yang tidak anatomis (malunion). Karakteristik paha dengan adanya otot (muscle belly) yang besar, demikian pula adanya kekuatan tarikan otot (muscle contractions) yang kuat menyebabkan pemendekan dan ketidakstabilan (unstable) posisi patahan tulang sehingga sulit untuk mencapai proses penyambungan tulang (bone healing). Jika ditangani secara tepat sesuai standar prosedur penanganan maka kemungkinan tulang akan menyambung (union) sebesar 90% dengan kemungkinan membaik tanpa adanya infeksi sebesar 99%.1

    Tulang paha berfungsi sebagai penopang tubuh. Pada tulang tersebut melekat banyak otot yang memiliki peran dalam mempertahankan postur berdiri, berjalan, berlari, duduk, berubah posisi dari jongkok ke berdiri dan berbagai fungsi lain. Malunion akan menyebabkan distribusi tenaga axial loading tidak merata. Terjadinya pergeseran anatomical axis dan mechanical axis yang nantinya berakibat buruk tidak hanya pada sebagian sendi (hip & knee joint) namun juga akan berakibat pada tulang belakang (spine).

    image

    Satu waktu seorang remaja pria datang kepada saya, kira-kira 16-an tahun usianya. Dia murid kelas 2 SMU di sebuah kota, bertubuh tinggi berperawakan atletis cocok dengan hobinya bermain basket. Ibu bapaknya guru SMU dan salah satunya adalah guru Biologi. Dia datang dengan jalan pincang dan lutut kanan yang tidak bisa ditekuk sempurna. Setengah tahun sebelumnya dia mengalami kecelakaan motor. Oleh ayahnya dia dibawa ke pengobat alternatif patah tulang (bone setter) terkemuka di kota tersebut.

    Hingga berbulan sesudahnya keadaan tidak semakin membaik. Setelah dilakukan pemeriksaan X-ray (ronsen) ternyata dia mengalami patah tulang paha yang tidak menyambung (nonunion fracture of supracondyler femur). Menghadapi kasus patah tulang terabaikan (neglected fracture) seperti demikian tim dokter bedah tulang tidak bisa memberi harapan maksimal kepada mereka. Kemungkinan besar range of movement tidak akan kembali normal kalaupun ketidakseimbangan panjang kaki (LLD/leg legth discrepancy) dapat diminimalisir. Keinginannya yang kuat untuk dapat bermain basket dan menjadi atlet sepertinya akan sulit terwujud. Akan sangat berbeda jika patah tulang yang dulu dialaminya segera ditangani. Kecacatan yang mungkin saja bisa dicegah dengan prinsip terapi orthopedi yang bisa dipertanggungjawabkan secara ilmiah dan moral.

    Sangat disayangkan orangtua yang terpelajar itu masih percaya dengan pengobatan non medis yang tidak dapat dipertanggungjawabkan secara ilmiah. Semoga semakin banyak masyarakat yang sadar akan pentingnya membawa problem tulang dan anggota gerak badan (muskuloskeletal) kepada tim dokter bedah tulang. Terlebih dengan adanya jaminan kesehatan oleh pemerintah diharapkan akan semakin banyak pasien yang bisa tertangani, terlepas dengan segala kekurangan yang tentunya diharapkan terus kita perbaiki bersama-sama.

    Yogyakarta, Mei 2015

    Referensi :

    1. http://www.orthobullets.com/trauma/1040/femoral-shaft-fractures

    Orthopedi dan HIV AIDS

    Suatu ketika saya mendapatkan kasus seorang banci/bencong yang terluka akibat tertabrak kereta api. Ia tiba di UGD dalam keadaan kesakitan teramat sangat. Teriakan suara bass-nya memenuhi separuh ruangan UGD kontras dengan dandanannya yang menor.

    Saat itu menjelang subuh, entah dalam kondisi mabuk atau apa, dia terjatuh (atau terpeleset) dijalur kereta api sekitar stasiun Lempuyangan. Tangan kanannya ‘tersenggol’ kereta api. Tidak jelas bagaimana dan bagian kereta api mana yang mengenainya. Tangan kanannya hancur sebatas setengah lengan bawahnya.

    Berdasarkan informasi yang disampaikan oleh rekan serta pengasuh dari perkumpulan bencong pasien ini positif menderita HIV AIDS. Melihat kondisi tangan kanannya itu tim memutuskan untuk segera melakukan operasi debridement emergency dengan standar penanganan pasien HIV AIDS sambil dilakukan tes konfirmasi objektivitas status penyakitnya. Tak lama berselang segera dilakukan operasi debridemen dan fiksasi. Operasi berlangsung dengan lancar, tim masih menaruh harapan bagian tubuh yang rusak itu dapat terselamatkan. Beberapa hari kemudian harapan itu pupus, tim harus melakukan dilakukan operasi kedua diruangan operasi elektif untuk tindakan amputasi dan stump plasty.

    Sepekan setelah operasi yang kedua pasien sudah dalam kondisi yang cukup baik. Luka mengering sesuai harapan tim. Tidak didapatkan tanda tanda infeksi lokal ataupun sistemik, dan pasien memang positif menderita HIV AIDS.

    Persiapan operasi baik di ruang operasi emergency dan ruang operasi elektif dilakukan dengan sangat teliti, waktu yang diperlukan untuk operasi lebih singkat dari persiapan operasi itu sendiri. Persiapan ruangan dan segala prosedur prevensi yang sesuai dengan standar prosedur operasional untuk pasien HIV AIDS.

    image

    HIV secara klinis pertama kali teridentifikasi tahun 1981(1). Difase awal ini para peneliti menggunakan terminologi 4H. Pada bulan september tahun 1982 CDC (centers for disease control and prevention) mulai menggunakan terminologi AIDS(1) untuk penyakit ini. Meski demikian dipercaya HIV AIDS pertama kali muncul tahun 1959 yang dibuktikan dari sampel darah seseorang asal Congo(2).

    Apakah boleh memilih untuk melakukan operasi pasien dengan HIV AIDS atau tidak? Ketika berhadapan dengan pasien yang terindikasi pengidap HIV AIDS penting untuk memegang kaidah “ultimate self protection“. Tentunya demi keselamatan pasien, pencegahan transmisi penyakit dan lebih utama lagi demi keselamatan diri serta keluarga.

    Paul M. Arnow(3) tahun 1987 melakukan study terhadap 325 dokter spesialis orthopedi di Amerika Serikat yang merupakan anggota asosiasi dokter orthopedi amerika (AAOS/American Academy of Orthopaedic Surgeons) mengenai pandangan dan pengalaman mereka dalam penanganan pasien dengan HIV AIDS. Enam puluh sembilan persen dari responden setuju bahwa etis jika seorang dokter bedah orthopedi menolak melakukan operasi dengan pertimbangan keselamatan diri dan keluarga(3).

    Profesi sebagai dokter bedah orthopedi memiliki resiko cukup tinggi tertular HIV AIDS. Ketika melakukan operasi mereka berhadapan dengan peralatan bedah dasar yang tajam, peralatan khusus bedah orthopedi yang memiliki bagian runcing atau fragmen tulang yang dapat melukai mereka.

    Obalum(4) pada tahun 2009 melaporkan bahwa sebagian dokter bedah orthopedi di Nigeria masih mengabaikan faktor proteksi diri, diantaranya berupa penggunaan double gloving, kacamata, aprons, dan boots yang kesemuanya direkomendasikan sebagai alat proteksi. Dalam laporan penelitian yang sama Obalum juga menyatakan bahwa 89,3 % dokter bedah orthopedi yang menjadi responden penelitiannya tetap bersedia melakukan operasi terhadap pasien dengan HIV AIDS.

    Arnow(3) menyimpulkan bahwa meskipun kebanyakan dokter bedah orthopedi percaya bahwa mereka tidak bisa dipaksa untuk melakukan operasi dan secara etika dapat menolak melakukan operasi jika kesehatan mereka terancam, namun mereka hampir selalu bersedia mengobati/melakukan operasi pasien dengan HIV pada kondisi operasi tersebut akan mendatangkan manfaat (beneficial) bagi pasien(3).

    Dhar(5) tahun 2006 melakukan literature review dari berbagai sumber mengenai tindakan dan penanganan kasus orthopedi pada pasien dengan HIV AIDS. “HIV – positive patients should be treated on the merits of injuries and in the context of available resources and expertise. Regular medical attention, prophylactic antibiotic therapy, strict operating theatre discipline and early evaluation and treatment of possible infection and use of anti retroviral therapy are especially important in this setting“, tulisnya.

    Sahabatku, prinsipnya serupa seperti instruksi yang selalu kita dengar dipesawat sebelum take off, pakailah masker oksigen terlebih dahulu sebelum memakaikan masker oksigen kepada anak anda.

    In flight BPN-JOG, Maret 2015

    References :
    1. http://en.m.wikipedia.org/wiki/HIV/AIDS
    2. http://en.m.wikipedia.org/wiki/History_of_HIV/AIDS
    3. Paul M. Arnow, et al. Orthopedic Surgeons’ Attitudes and Practices concerning Treatment of Patients with HIV Infection. Public Health Reports (1974-) Vol. 104, No. 2 (Mar. – Apr., 1989), pp. 121-129. Published by: Association of Schools of Public Health. Article Stable URL:  http://www.jstor.org/stable/46286

    4. Obalum, D.C. et al. Concerns, attitudes, and practices of orthopaedic surgeons towards management of patients with HIV/AIDS in Nigeria . Int Orthop. 2009 Jun; 33(3): 851–854.  Published online 2008 May 21.doi:  10.1007/s00264-008-0576-1

    5. Dhar, D. HIV Infection and Orthopaedics: Current scenario and review of literature. The Internet Journal of Orthopedic Surgery. 2006 Volume 5 Number 1.

    Orthopedi is an ART

    “Orthopaedic is the art and science of prevention, investigation, diagnosis, and treatment of disorder and injuries of the musculoskeletal system by medical, surgical, and physical means-including physiotherapy-as well as study of musculoskeletal physiology, pathology, and other related basic science” (Salter, R.B).

    Seperti halnya cabang ilmu kedokteran lainnya, orthopedi tidak melulu berupa ilmu pasti, meskipun orthopedi memiliki acuan prinsip yang dipelajari, dipegang dan diaplikasikan sejak penegakan diagnosis hingga terapi, selebihnya adalah seni. Seni dalam-setidaknya-memfiksasi atau memegang tulang dengan berbagai jenis modalitas memerlukan cita rasa, sehingga dapat dikatakan bahwa seni tidak hanya menjadi monopoli Art-ist, namun juga dimiliki oleh setiap Orthoped-ist.

    Secara sangat sederhana orthopedi dapat dikatakan sebagai seni menyusun tulang yang patah atau seni mengembalikan posisi tulang patah bahkan remuk (simple or comminutive bone fracture), menjadi se-anatomis mungkin (jika intraartikuler) atau seoptimal mungkin (jika extra artikuler) ke posisi optimal (acceptable). Lebih sederhana lagi seperti menyusun puzzle. Namun dibalik itu sesungguhnya cakupan ilmu orthopedi luas sekali, reposisi tulang (reposition & realignment of fractured bone) bagaikan potongan ujung kuku dari keseluruhan orthopedi.

    Robert Bruce Salter mendefinisikan orthopedi sebagai sebuah seni dan ilmu (the art and science), bukan science and art. Tentu dia mempunyai alasan mendasar mengapa menulis hal demikian. Dalam bahasa saya orthopedi adalah sebuah cita rasa tentang keindahan, sentuhan tangan dan hati.

    Orthopedi tidak lepas dari foto-grafi. Setiap hari seorang ahli bedah orthopedi melihat dan menilai foto X-ray/rontgen, CT, arthrogram atau MR. Foto tersebut digunakan sebagai modal penegakan diagnosis, penentuan terapi dan evaluasi hasil operasi (post op x-ray). Sejak tahun 1930 telah muncul fotografi dengan sarana X-Ray. Salah satu pioneer seni x-ray adalah Dain Tasker. Alat yang ditemukan oleh Wilhelm Konrad Rontgen pada tahun 1895 ini digunakan sebagai media seni yang menakjubkan. Kerumitan serta kebutuhan akan instrumen khusus yang melibatkan bahan radioaktif membuat tidak banyak seniman mendalami “x-rayography”, beberapa diantaranya yang terkenal adalah Leslie Wright dan Werner Schuster.

    image

    Seni fotografi adalah salah satu dari seni cita rasa. Secara sederhana fotografi merupakan seni menghentikan waktu. Kita mampu membekukan waktu lalu membagikan momen itu kepadaorang lain sehingga bisa dinikmati keindahannya atau melihat peristiwa menakjubkan. Karya fotografi juga membawa keinginan art-ist untuk memberi inspirasi.

    Seni bukan ilmu pasti, demikian pula dengan orthopedi, siapa yang berani memberi kepastian kesempurnaan hasil operasi seorang ahli orthopedi? dan siapa yang mampu memberi jaminan bahwa pasien akan kembali seperti sediakala?

    Sahabatku, ada begitu banyak cita rasa seni yang termasuk didalamnya seni orthopedi. Sebuah seni pengobatan sistem muskuloskeletal dengan sentuhan cita rasa hati.

    Yogyakarta, 27 Februari 2015

    image

    Orthopedi Pediatrik

    Pada tahun 1741, Nicholas Andry, seorang profesor dari Universitas Paris mempublikasikan buku yang menjelaskan mengenai berbagai metode dalam pencegahan dan pengobatan kelainan bentuk pada anak. Dia mengkombinasikan dua kata dari bahasa latin, yaitu orthos atau lurus dan paidios atau anak, menjadi satu kata “orthopedics”. Inilah yang menjadi nama salah satu spesialisasi keilmuan bedah.

    image

    Gangguan bentuk yang terjadi pada anak baik itu sejak lahir (congenital) atau dapatan (aquired) apapun penyebabnya dapat berakibat besar terhadap perkembangan dan pertumbuhan anak. Bukan hanya berdampak terhadap anak itu sendiri namun juga terhadap orang tuanya. 

    Anak tidak sama dengan orang dewasa. Anak akan mengalami masa tumbuh kembang dimana respon anak terhadap adanya cidera, infeksi dan deformitas akan berbeda dibandingkan dengan orang dewasa.

    image

    Kelainan pada kaki berupa clubfoot termasuk yang paling sering dijumpai. Diperkirakan 1 dari 1000 kelahiran akan mengalami kelainanan ini. Pada umumnya jika ditangani secara tepat dengan teknik ponseti hasilnya cukup menjanjikan.

    Kasus cerebral palsy misalnya, sebuah gangguan otak non progresif yang disebabkan berbagai faktor, baik itu sebelum lahir, saat lahir ataupun setelah lahir hingga usia 2 atau 3 tahun yang menyebabkan gangguan fungsi anggota gerak. Spektrum penyakit cerebral palsy cukup luas dapat mempengaruhi tulang belakang (spine), gangguan kognitif dan bersifat sentral. Pada keadaan tetraplegic untuk kebutuhan dasar hidup anak akan sangat bergantung kepada orang tuanya.

    Orthopaedi Pediatrik berusaha mendalami dan mengkhususkan keimuan mengenai segala gangguan sistem muskuloskeletal anak untuk dapat mencegah deformitas lebih lanjut, mengembalikan bentuk dan fungsi demi meningkatkan kualitas hidup penderita (quality of live).

    Yogyakarta, 2015

    Orthopedic Nurses

    “Perkenalkan, saya dokter Ahmadhil”, kalimat itu masih jelas teringat sejak terucap lima tahun lalu. Kalimat perkenalan dengan staf keperawatan di bangsal orthopedi tempat kami dididik menjadi seorang ahli bedah orthopedi. Hari-hari pertama di rumah sakit kami gunakan untuk berkenalan dengan perawat yang nantinya akan berhubungan kerja tim orthopedi kami. Di kamar operasi, bangsal orthopedi dan bedah lainnya, instalasi gawat darurat (IGD/UGD), pelayanan rawat jalan dan unit radiologi.

    Sejak semula sebelum menjadi dokter bagi saya kesadaran akan hubungan sinergis dengan rekan perawat menjadi bagian terpenting dalam menangani pasien. Dibagian akhir sebuah film inspiratif “Patch Adam” jelas sekali bagaimana luar biasanya peran perawat dan bagaimana seharusnya menempatkan perawat dalam penanganan pasien bersama sama dokter. Ada baiknya anda menyempatkan diri menonton film yang diadaptasi dari kisah nyata dokter Hunter “Patch” Adams itu.

    Sepanjang setahun pertama pendidikan orthopedi sebagian besar waktu dihabiskan di bangsal. Jadwal jaga yang ketat seringkali membuat residen sukar untuk dapat meninggalkan tugas di bangsal. Kami jadi memahami betapa tidak mudahnya tugas perawat. Merekalah yang sesungguhnya merawat pasien dengan segala keluh kesahnya, melayani pasien yang-mungkin-mempertanyakan dokter yang kurang menjelaskan mengenai penyakit dan terapi dalam bahasa pasien.

    Perawat sebagai asisten operator saat operasi merupakan bagian yang vital bagi dokter bedah orthopedi. Peralatan bedah orthopedi tergolong yang paling beragam, seringkali berbeda beda untuk jenis operasi. Terlebih jenis operasi khusus. Diperlukan orang yang paham dalam mempersiapkan semua peralatan tersebut. Hal demikian akan mempermudah tugas ahli orthopedi ketika melakukan operasi.

    Siapakah pioner perawat orthopedi? Adalah seorang wanita bernama Dame Agnes Hunt yang dikenal sebagai pioneer perawat orthopedi dunia. Perawat yang berasal dari Shropshire Inggris ini banyak berperan dalam perawatan anak anak cacat pada masanya, beliau juga banyak terlibat dalam perawatan korban akibat perang dunia pertama di Inggris. Bersama Robert jones, seorang ahli bedah orthopedi, mereka mendirikan RS Orthopedi “Robert Jones and Agnes Hunt Orthopaedic Hospital (RJAH)”.

    image

    Perawat orthopedi memiliki peranan penting dengan spesialisasi keperawatan muskuloskeletal, baik kamar operasi, bangsal perawatan, poliklinik/rawat jalan dan perawatan rumah (home care)). Setiap tanggal 30 Oktober masyarakat Amerika memperingatinya sebagai Hari Perawat Orthopedi (International Orthopaedic Nurse Day). Sejak tahun 2001 secara internasional 30 oktober dikenal sebagai hari peringatan dedikasi perawat orthopedi.

    Beberapa waktu nanti saya akan memulai mengulang kalimat perkenalan itu di RS tempat pengabdian saya bertahun kedepan. Dengan menaruh harapan besar akan bisa bekerja sama penuh keakraban bersama perawat perawat orthopedi tangguh demi kepentingan pasien kami.

    Yogyakarta, 20 Februari 2014

    Source :

    1. http://www.orthonurse.org/p/cm/ld/fid=34

    2. http://en.m.wikipedia.org/wiki/Agnes_Hunt

    3. http://www.snipview.com/q/Agnes%20Hunt